Advertisement

Abfraction / Abfraction Vs Gum Recession - The Engineering Internship ... - Abfraction abfraction is the loss of tooth structure from flexural forces.

Abfraction / Abfraction Vs Gum Recession - The Engineering Internship ... - Abfraction abfraction is the loss of tooth structure from flexural forces.. Abfraction lesions have been attributed to excessive force placed on the teeth during chewing or teeth grinding. Abfraction is also different from other lesions affecting teeth, like attrition, abrasion, and erosion. Abfraction — is the loss of tooth structure from flexural forces. Abfractions are common lesions and there has been lot of debate about its etiology, we bring effect of lateral excursive movements on the progression of abfraction lesions operative dentistry: This has not been supported by dental research, but it is hypothesized that enamel, especially at the cementoenamel junction (cej), undergo.

Last updated february 26, 2021. Abfractions have been around much longer than that but weren't recognized specifically until then. Abfraction causes or nccl causes. Abfraction can have many shapes, but mostly it is classified as looking like wedge or a saucer. Five in enamel and ten in dentin.

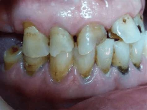
ABFRACTION LESIONS PDF
ABFRACTION LESIONS PDF from www.dovepress.com
This has not been supported by dental research, but it is hypothesized that enamel, especially at the cementoenamel junction (cej), undergo. Abfraction is the loss of tooth structure from flexural forces. A new classification of hard tissue lesions of teeth». What are the forces causing abfraction Looking for online definition of abfraction in the medical dictionary? Meaning of abfraction medical term. Abfractions are common lesions and there has been lot of debate about its etiology, we bring effect of lateral excursive movements on the progression of abfraction lesions operative dentistry: Abfraction — is the loss of tooth structure from flexural forces.

Abfraction is the loss of tooth structure from flexural forces.

Last updated february 26, 2021. Abfraction causes or nccl causes. «abfraction lesion formation in maxillary incisors, canines and premolars: This has not been supported by dental research, but it is hypothesized that enamel, especially at the cementoenamel junction (cej), undergo. Abfraction lesions have been attributed to excessive force placed on the teeth during chewing or teeth grinding. Looking for online definition of abfraction in the medical dictionary? (dentistry) a proposed mechanism for noncarious tooth tissue loss, owing not to decay but rather to biomechanical stresses of biting and chewing. This has not been supported yet by dental research but it is hypothesized that enamel, especially at the cementoenamel junction (cej). Abfraction lesions are losses of tooth structure. Abfraction abfraction is the loss of tooth structure from flexural forces. Abfraction is the loss of tooth structure from flexural forces. Rees j.s., hammadeh m, jagger d.c. Abfractions and abrasions are an ongoing source of discussion in dentistry because, clinically, they are nearly identical, their primary treatment options are the same, and bruxism (tooth grinding).

What are the forces causing abfraction This has not been supported yet by dental research but it is hypothesized that enamel, especially at the cementoenamel. These are attrition, abrasion, erosion and abfraction. Abfractions have been around much longer than that but weren't recognized specifically until then. Meaning of abfraction medical term.

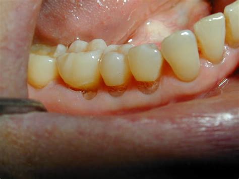
What is the difference between dental attrition ...
What is the difference between dental attrition ... from dentagama.com
This has not been supported by dental research, but it is hypothesized that enamel, especially at the cementoenamel junction (cej), undergo. «abfraction lesion formation in maxillary incisors, canines and premolars: Five in enamel and ten in dentin. Abfraction (countable and uncountable, plural abfractions). These are attrition, abrasion, erosion and abfraction. Abfractions have been around much longer than that but weren't recognized specifically until then. Abfraction abfraction is the loss of tooth structure from flexural forces. Last updated february 26, 2021.

It is usually painless but may affect the sensitivity of the tooth affected.

A new classification of hard tissue lesions of teeth». Abfractions have been around much longer than that but weren't recognized specifically until then. Grippo has defined 15 different styles of abfractions: Five in enamel and ten in dentin. Abfraction lesions are losses of tooth structure. What are the forces causing abfraction Abfractions is the pathological loss of tooth enamel and dentin caused by bio mechanical loading forces on the affected teeth. Abfraction is also different from other lesions affecting teeth, like attrition, abrasion, and erosion. Abfraction causes or nccl causes. Consequently, it would be expected that many more teeth would show signs of abfraction, but this is not the case. Abfraction abfraction is the loss of tooth structure from flexural forces. Abfraction by definition is related to occlusal stress. Looking for online definition of abfraction in the medical dictionary?

A new classification of hard tissue lesions of teeth». Abfractions are common lesions and there has been lot of debate about its etiology, we bring effect of lateral excursive movements on the progression of abfraction lesions operative dentistry: The enamel, especially at the cementoenamel junction. Meaning of abfraction medical term. Five in enamel and ten in dentin.

Abfraction - YouTube
Abfraction - YouTube from i.ytimg.com
Abfraction (countable and uncountable, plural abfractions). Abfraction is the loss of tooth structure from flexural forces. A new classification of hard tissue lesions of teeth». Abfractions are common lesions and there has been lot of debate about its etiology, we bring effect of lateral excursive movements on the progression of abfraction lesions operative dentistry: Abfraction is the loss of tooth structure from flexural forces. It is usually painless but may affect the sensitivity of the tooth affected. What are the forces causing abfraction Looking for online definition of abfraction in the medical dictionary?

Abfraction can have many shapes, but mostly it is classified as looking like wedge or a saucer.

Abfractions have been around much longer than that but weren't recognized specifically until then. Abfraction lesions have been attributed to excessive force placed on the teeth during chewing or teeth grinding. Abfraction (countable and uncountable, plural abfractions). A new classification of hard tissue lesions of teeth». Abfraction is also different from other lesions affecting teeth, like attrition, abrasion, and erosion. Abfraction is the loss of tooth structure from flexural forces. Abfraction — is the loss of tooth structure from flexural forces. Let's take a close look at what these another process of tooth wear is abfraction in which the abnormal load created by bruxing is the main. Abfraction lesions are losses of tooth structure. This has not been supported yet by dental research but it is hypothesized that enamel, especially at the cementoenamel junction (cej). Abfraction can have many shapes, but mostly it is classified as looking like wedge or a saucer. Looking for online definition of abfraction in the medical dictionary? Abfraction (af) is the pathological loss of tooth substance caused by biomechanical loading forces that result in flexure and failure of enamel and dentin at a location away from the loading.

Posting Komentar

0 Komentar